Serviço Urgências disponível 8h30 - 22h00
Serviço Urgências 8h30 - 22h00
Prioridade de atendimento
Solução do problema
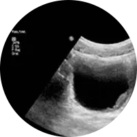
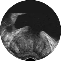
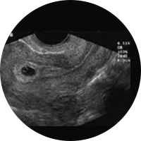
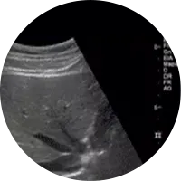
A Ecografia é um método de estudo e diagnóstico que permite, devido à emissão de ondas sonoras ou ultra-sons, examinar diversas áreas do corpo e órgãos e confirmar um diagnóstico clínico. Pode, portanto, ser usada para fins muito diversos como a observação ao pormenor do fígado, a vesícula biliar, rins, baço, tiróide, próstata, artérias e veias (Ecodoppler), entre outros. O exame de ecografia não causa nenhuma dor.
A obtenção de imagens por RM Aberta não envolve a utilização de Raios-X, ou mesmo material radioactivo e praticamente não necessita de preparação. As imagens adquiridas, resultam da interacção entre o campo magnético e os átomos que fazem parte das nossas células.
As imagens são formadas por um computador, que processa os sinais que são emitidos pelos tecidos do corpo humano. Este sinal é gerado, usando um campo magnético em combinação com pulsos de radiofrequência. As diferentes características dos tecidos são reveladas através deste processo e traduzidas em diferentes níveis de contraste na imagem.

Existem vários tipos de preparação para os diferentes tipos de ecografia.
IRM é a designação de Imagens por Ressonância Magnética.
É actualmente a designação adoptada após o progressivo abandono da abreviatura RMN (Ressonância Magnética Nuclear).
Absolutamente seguro. É uma técnica de obtenção de imagens, não invasiva.O nível de campo magnético presente na ressonância magnética aberta, não causa nenhum tipo de reacção adversa. Esta não utiliza radiação X. É seguro para pacientes alérgicos ao contraste iodado, utilizado em procedimentos radiológicos como a TC ou Urografia.
O nosso equipamento de ressonância aberta da FUJIFILM, diminui os efeitos claustrofóbicos provocados pelos equipamentos de campo fechado, permitindo que os pacientes se sintam à vontade e obtenham os resultados desejados.
A nossa ressonância aberta também reduz o custo, e o risco, em exames pediátricos, uma vez que pode não ser necessário recorrer a procedimentos anestésicos para a realização do exame.
Com a evolução dos equipamentos de ressonância magnética aberta, a qualidade das imagens veio permitir a redução do número de cirurgias exploratórias, realizadas apenas para fins de diagnóstico.
Ressalva-se o facto de alguns pacientes não poderem realizar o exame devido a indicações médicas, tais como gravidez, implantes metálicos, ou electrónicos não compatíveis com RM.
Qualquer esclarecimento fale com o seu médico, ou contacte-nos e responderemos às suas dúvidas.
Durante o exame, o paciente fica deitado sobre uma mesa confortável e móvel, parecida com uma cama. Não existe nada a tocar o corpo, nem se sente nenhuma sensação estranha ou mesmo dor. A sala da ressonância é por natureza, mantida a uma temperatura estável de 21ºC, para maior comodidade serão fornecidos cobertores de aquecimento, para que a realização do exame seja mais confortável.
Durante o exame, o paciente está em permanente contacto com o técnico de radiologia, através de um sistema de comunicação entre o equipamento e a sala de comando. O técnico de radiologia observa o paciente no decorrer de todo o exame, através de uma janela apropriada para o efeito.
O exame demora entre 20 a 30 minutos, dependendo do tipo e complexidade do mesmo. No decorrer do exame é importante que o paciente se mantenha relaxado e permaneça o mais imóvel possível.
Após terminar o exame, o paciente pode regressar a casa, sem nenhuma precaução em especial.
As imagens são arquivadas no nosso sistema PACS (Sistema de comunicação e arquivo de imagens), onde posteriormente o nosso staff médico as avaliará e produzirá o respectivo relatório que acompanha o exame.
O exame demora 20 a 30 minutos. O tempo de duração do exame depende de muitos factores como a colaboração do paciente, o tipo de exame e o tipo de patologia a estudar.
A entrega do exame é sempre coordenada com o paciente, podendo sofrer alterações mediante a urgência na obtenção do resultado.
O exame é acompanhado por um CD com todas as imagens realizadas, uma película resumo com as imagens mais relevantes e o respectivo relatório médico.
Normalmente sim. Na maioria dos exames de ressonância magnética, não existe restrição à alimentação, de qualquer modo, existem restrições mediante o tipo de exame e a informação clínica do mesmo.
A forma mais eficaz é contactar a Remagna no sentido de avaliar a prescrição médica e respectiva informação clínica, para assim com certeza podermos afirmar que pode alimentar-se antes do exame. Em todos os exames que necessitem de injeção de contraste, o paciente tem que obrigatoriamente estar em jejum de 3 a 4 horas para evitar náuseas e vómitos após a injeção.
Só podemos executar um exame de cada vez, assim sendo, reservamos um período por cliente.
No dia que antecede o exame o cliente recebe um SMS informando e confirmando a marcação, nessa altura, o cliente deve informar que pretende cancelar ou alterar a data da sua marcação.
Para a maioria dos exames não é necessária nenhuma preparação específica. O cliente não necessita de fazer nenhuma dieta especial e, na maioria dos casos, não necessita de comparecer em jejum. O técnico de radiologia, que executa o exame, fará algumas questões sobre eventuais implantes metálicos (ex: próteses articulares, placas metálicas, próteses dentárias, dispositivos auriculares, etc).
Antes do exame, o paciente é encaminhado para um vestiário, onde será pedido para retirar todos os objectos metálicos do corpo e vestuário (ex: chaves, jóias, relógio, ganchos de cabelo, piercings, cartões magnéticos, etc). O vestiário será fechado à chave para segurança de todos os pertences.
Pacientes com Pacemaker, neuro-sensores ou que tenham sido submetidos a uma cirurgia vascular cerebral, não podem efectuar exames de ressonância magnética. É importante que o técnico de radiologia seja informado de toda e qualquer cirurgia a que o paciente tenha sido submetido, bem como a possíveis exposições a fragmentos metálicos, devido à profissão (ex: soldador, serralheiro) ou devido a acidentes (ex: estilhaços, tiros com armas de fogo). Nestas circunstâncias o cliente deve, em caso de dúvida, fazer-se acompanhar de radiografias, ou mesmo realizar exames radiológicos, a fim de confirmar a zona e o tipo de fragmento metálico em causa.
Se o cliente é portador de clips aneurismáticos, válvulas cardíacas ou stents, deve informar-nos no acto de marcação.
Nos exames abdominais e pélvicos é necessário que o cliente compareça, pelo menos, com 4 horas de jejum. Quando necessária a injeção de contraste, durante o exame, o técnico de radiologia explica todo o procedimento e será pedido ao cliente para assinar um consentimento informado, que pode descarregar do nosso site.
Clientes diabéticos devem manter todas as indicações do seu médico, quer em termos de medicação, quer em termos de dietas. Não deve ser interrompida nenhuma medicação, sem que o médico assistente assim o determine.
Este sintoma é muito comum nos equipamentos de Ressonância Magnética campo fechado ("túnel").
O nosso equipamento é espaçoso, confortável e de design moderno. A maioria dos pacientes que não conseguem tolerar o “túnel”, não têm qualquer problema, nem se sentem “fechados”, quando realizam exames no nosso equipamento de Ressonância ABERTA.
O nosso equipamento é desenhado para diminuir a sensação de claustrofobia, é aberto em todos os lados, permitindo ter uma sensação de liberdade e de espaço única.
O nosso equipamento é aberto em todos os lados, tornando-o arejado e luminoso.
O paciente não vai sentir a sensação de estar fechado.
A nossa mesa tem um limite de peso de 130 Kg.
SIM!
Como qualquer outro exame de diagnóstico, a ressonância magnética, só pode ser realizada mediante apresentação da respectiva prescrição médica. O médico é a única pessoa habilitada para prescrever exames. Mesmo sendo o cliente a pagar os custos da realização do exame, terá que ter uma prescrição médica. Esta prescrição médica é fundamental para a orientação do estudo. A informação nela contida é importantíssima para a realização do exame.
SIM. As imagens produzidas no nosso equipamento (Airis Elite da Hitachi) são em alguns casos comparáveis às imagens produzidas em equipamentos de campo magnético fechado (“túnel”).
O nosso equipamento, ABERTO, usa os avanços tecnológicos mais recentes, para produzir imagens de elevada qualidade.
A ressonância magnética não representa qualquer perigo, para a maioria dos pacientes. Determinadas condições médicas, podem impedir um paciente de realizar uma ressonância magnética.
O campo magnético, pode causar perturbações em alguns dispositivos internos como pacemakers, válvulas cardíacas, etc.
SIM.
As crianças podem realizar este tipo de exames. Crianças com menos de cinco anos, é usual realizarem estes exames, com a ajuda de um sedativo, para que se mantenham imóveis no decorrer da aquisição das imagens.
Com o nosso sistema de Ressonância ABERTA, os pais podem ficar dentro da sala e até mesmo junto da criança, uma vez que, por ser ABERTA, o equipamento permite o acesso ao paciente por diversos lados, permitindo que os pais ou familiares estejam junto da criança. É uma excelente forma de evitar o nervosismo e apreensão que a criança e os pais possam ter em relação ao exame, evitando muitas vezes o uso da sedação.
A ressonância magnética não é recomendada a grávidas, particularmente no primeiro trimestre, contudo, até à data não existe conhecimento de nenhum efeito colateral relacionado com este tipo de exames.
Todos os exames de diagnóstico por imagem (Imagiologia), providenciam informação do corpo humano.
Uma das diferenças mais simples entre as duas técnicas, de aquisição de imagem, é a utilização de radiação X, como é o caso dos TC e das Convencionais Radiografias. A ressonância magnética não usa radiação X e produz imagens de elevada qualidade na demonstração dos tecidos moles, quando a comparamos com o TC (Tomografia Computorizada). O seu médico é a pessoa mais indicada para decidir qual das técnicas é a mais apropriada no seu caso específico.
VANTAGENS DA RM
-Não utiliza Raio-X- Produz melhores imagens da coluna, articulações, hipófise, crânio;
-Reduz a ansiedade em pacientes claustrofóbicos (sistema de ressonância ABERTA);
-Capacidade de realizar exames a pacientes mais pesados (sistema de ressonância ABERTA);
DESVANTAGENS DA RM
-Tempo de execução do exame mais longo. Pacientes com dispositivos electrónicos e alguns implantes metálicos;
Os nossos equipamentos ajudam os médicos a diagnosticar, de forma precoce uma grande variedade de patologias.
Exame seguro e não invasivo
Procedimento indolor e confortável
Alta precisão na avaliação de diversas áreas do corpo
Remagna IMAS Barreiro © 2026 - Direitos Reservados
Remagna IMAS Barreiro © 2026
Direitos Reservados
*Chamada Rede Fixa Nacional
**Chamada Rede Móvel Nacional
Build by Pointfull.